Wrist Arthritis & Intercarpal Arthritis
Overview
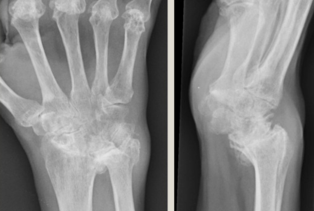
Wrist arthritis encompasses degenerative and inflammatory conditions affecting the radiocarpal joint (between the radius and the proximal carpal row), the midcarpal joint (between the two carpal rows), and the distal radioulnar joint (DRUJ). Unlike hip and knee arthritis, primary osteoarthritis of the wrist is relatively uncommon — most wrist arthritis follows a specific structural injury: scapholunate ligament rupture, scaphoid non-union, Kienböck’s disease, or intra-articular fracture. Understanding the pattern of arthritis guides surgical planning.
Common Arthritis Patterns
SLAC Wrist (Scapholunate Advanced Collapse) | The most common pattern. Progressive arthritis following chronic scapholunate ligament disruption. Stage I: Radial styloid-scaphoid arthritis. Stage II: Entire radioscaphoid joint. Stage III: Capitolunate joint. |
SNAC Wrist (Scaphoid Non-union Advanced Collapse) | Similar collapse pattern following untreated scaphoid non-union. Avascular necrosis of the proximal pole is often present. |
Kienböck’s Disease (Avascular Necrosis of Lunate) | Progressive collapse of the lunate bone following disruption of its blood supply. Classified by Lichtman staging (I–IV). Can progress to pancarpal arthritis. |
Radiocarpal OA | Following distal radius fracture malunion with altered joint mechanics or direct chondral damage from the fracture. |
Rheumatoid Arthritis | Bilateral, symmetrical involvement with erosive synovitis, carpal subluxation, and characteristic ulnar drift of the fingers. |
Symptoms
- Wrist pain aggravated by loading and motion, easing with rest
- Progressive loss of wrist extension, flexion, and forearm rotation
- Swelling over the dorsal wrist
- Weakness and difficulty with gripping, lifting, and weight-bearing through the wrist
- In Kienböck’s disease: Diffuse dorsal wrist pain and tenderness, often following a single minor injury in a young adult (20–40 years)
Treatment
Non-Surgical
- Wrist splinting for activity modification
- NSAIDs and analgesics
- Intra-articular corticosteroid injection: Radiocarpal and midcarpal joint injections under imaging guidance for symptomatic relief
- Disease-modifying therapy for RA: Rheumatological co-management
Surgical Options
- Proximal row carpectomy (PRC): Excision of the scaphoid, lunate, and triquetrum — the entire proximal carpal row. The capitate articulates with the lunate fossa of the radius, creating a new simplified radiocarpal joint. Preserves approximately 50–70% of wrist motion. Indicated for SLAC Stage I–II and SNAC wrist with an intact capitate head.
- Four-corner fusion (4CF): Arthrodesis of the capitate, lunate, triquetrum, and hamate with excision of the scaphoid. Preserves a small functional arc of motion via the preserved radiolunate joint. Indicated when the capitate head is arthritic (SLAC Stage III).
- Total wrist arthrodesis: Fusion of the entire wrist to the radius. Eliminates pain completely. Trading motion for pain relief — appropriate for end-stage pancarpal arthritis, failed partial fusion, or wrist with poor bone stock. Retains forearm rotation (pronation/supination).
- Total wrist arthroplasty: Wrist replacement — an evolving technique with improving implant designs. Suitable for low-demand patients (primarily RA) wishing to preserve motion. Complications higher than hip/knee replacement.
- Kienböck’s disease: Treatment depends on Lichtman stage — radial shortening osteotomy (Stage II–IIIA), PRC (Stage IIIB), or wrist arthrodesis (Stage IV).
Patient FAQs –Wrist Arthritis & Intercarpal Arthritis
Do I have to lose all wrist movement to fix the arthritis pain?
Not necessarily. For selected patterns of wrist arthritis, motion-preserving procedures like proximal row carpectomy or four-corner fusion can eliminate pain while preserving a functional range of motion (typically 40–60° of flexion/extension arc). Total wrist fusion is reserved for cases where partial procedures are not appropriate. Dr. Senthilvelan will discuss the option most suited to your arthritis pattern, age, and activity demands.













