Elbow Fractures
Overview
Elbow fractures encompass a range of injuries affecting the distal humerus, radial head, radial neck, olecranon, and coronoid process. They are common across all age groups — radial head fractures and supracondylar fractures are among the most frequently seen orthopaedic injuries. Correct identification of the fracture pattern, associated ligamentous injuries, and joint stability is critical to determining the appropriate management strategy.
Radial Head & Neck Fractures
The most common elbow fracture in adults. Caused by a fall on an outstretched hand transmitting axial force through the radial head. Classified by the Mason system:
Mason Type I | Undisplaced (<2mm). Managed conservatively — collar and cuff sling for 1–2 weeks, early mobilisation. Excellent prognosis. |
Mason Type II | Displaced (>2mm) but partial — single or two-part fracture involving <30% of the head. ORIF with mini-screws if mechanical block to motion exists. |
Mason Type III | Comminuted (shattered) radial head — unreconstructable. Requires radial head replacement with a metal implant to maintain length and lateral stability. |
Mason Type IV | Any radial head fracture associated with elbow dislocation — the terrible triad complex. Requires comprehensive surgical stabilisation. |
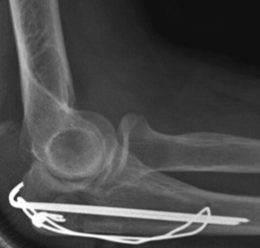
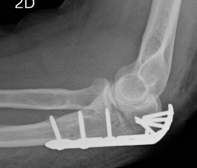
Olecranon Fractures
Olecranon fractures disrupt the extensor mechanism of the elbow — the triceps muscle pulls the proximal fragment proximally, preventing active elbow extension. Displaced fractures require surgical fixation:
- Tension band wiring (TBW): The traditional technique — two K-wires and a figure-of-eight wire convert the tensile force of the triceps into compression across the fracture. Highly effective but high implant prominence/irritation rates requiring later removal.
- Plate fixation (pre-contoured locking plates): Increasingly preferred for comminuted and complex fracture patterns. More stable fixation with lower re-operation rates.
- Excision and triceps advancement: Reserved for highly comminuted fractures in elderly, low-demand patients — the small proximal fragment is excised and the triceps tendon advanced to the remaining olecranon.
Distal Humerus Fractures
Complex bicolumnar fractures of the distal humerus — classification by AO/OTA system (A = extra-articular, B = partial articular, C = complete articular). They are challenging injuries requiring precise restoration of the articular surface and both columns to restore elbow function:
- ORIF with dual pre-contoured locking plates: Standard technique for Types B and C fractures. Orthopaedic surgery of significant complexity, typically requiring 2–3 hour operative time.
- Total elbow replacement: In elderly (>65) low-demand patients with highly comminuted C3 fractures where ORIF is not technically feasible — primary arthroplasty produces faster rehabilitation and reliable pain relief.
Paediatric Supracondylar Fractures
The most common elbow fracture in children — peak incidence 5–7 years. Caused by hyperextension fall on the outstretched arm. Classified by Gartland grade (I–III). Neurovascular assessment is critical — the anterior interosseous nerve (10–20% incidence) and the brachial artery are at risk. Grade II and III fractures require surgical fixation (percutaneous K-wire pinning under fluoroscopy).
Patient FAQs –Elbow Fractures
My elbow has swelled but doesn't hurt much — should I be worried?
A minimally displaced (Mason Type I) radial head fracture is managed non-surgically with early mobilisation. Surgery is required only when there is a mechanical block to forearm rotation (a displaced fragment preventing pronation/supination), significant displacement, or association with elbow dislocation. Dr. Senthilvelan will assess your specific fracture pattern on X-ray and determine the appropriate management.














